T
The Daily Insight

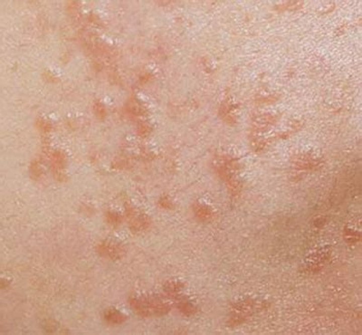
Are flat warts contagious

Author

Ava Hall

Published Mar 23, 2026

Warts are not highly contagious and usually require a small break in the skin to become infected. Flat warts tend to stay small in size, but they can be numerous in quantity. Flat warts often spread to other places on the body by scratching or shaving.

Are Flat Warts an STD?

What causes flat warts? All warts are caused by human papillomavirus (HPV), which has more than 100 different types. Flat warts are caused by HPV types 3, 10, 28, and 49. These strains are benign, unlike genital HPV, which can lead to cervical cancer in women.

How do you get rid of flat warts?

  1. excision, which involves cutting or scraping away the wart with a scalpel.
  2. burning, where the wart is removed using a laser.
  3. cryotherapy, which involves freezing the wart with liquid nitrogen until it falls off.

Are warts contagious if you touch them?

Warts aren’t considered very contagious, but they can be caught by close skin-to-skin contact. The infection can also be transmitted indirectly from contaminated objects or surfaces, such as the area surrounding a swimming pool. You are more likely to get infected if your skin is wet or damaged.

Can you have flat warts for years?

Flat warts tend to stay small in size but can be numerous in quantity. They are usually painless and go away on their own, sometimes taking a few months to resolve (but can take up to 2 years).

How do you get rid of flat warts naturally?

Apple cider vinegar Salicylic acid is a common wart treatment that peels away infected skin. Vinegar also has natural antimicrobial properties that may help fight HPV, but more studies are necessary. To try it, mix 2-parts apple cider vinegar and 1-part water. Soak a cotton ball with this mixture.

Why am I getting small warts on my body?

Warts occur when the virus comes in contact with your skin and causes an infection. Warts are more likely to develop on broken skin, such as picked hangnails or areas nicked by shaving, because the virus is able to enter the top layer of skin through scratches or cuts.

Are warts on hand HPV?

HPV stimulates quick growth of cells on the skin’s outer layer. In most cases, common warts appear on the fingers, near the fingernails, or on the hands. Certain types of HPV can also cause warts to appear in the genital area.

Can I spread warts to myself?

You can spread warts to yourself, too Not only can you spread warts to other people, you can spread them to other parts of your body, too. If you have warts, avoid touching other areas of your body.

How can I prevent warts on my face?
  1. Keep your hands clean and don’t touch your face to eliminate the transfer of the virus.
  2. Never use someone else’s makeup or eye drops.
  3. If you cut your face while shaving, are chafed, or have a pimple that’s open and irritated, protect and cover your skin.
Article first time published on

Are there non STD warts?

Non-genital warts (verrucas) are an extremely common, benign, and usually self-limited skin disease. Infection of epidermal cells with the human papillomavirus (HPV) results in cell proliferation and a thickened, warty papule on the skin.

What are the symptoms of HPV in females?

  • pain during sex.
  • pain in the pelvic region.
  • unusual discharge from the vagina.
  • unusual bleeding, such as after sex.

Is it OK to leave warts untreated?

Most warts will persist for one to two years if they are left untreated. Eventually, the body will recognize the virus and fight it off, causing the wart to disappear. While they remain, however, warts can spread very easily when people pick at them or when they are on the hands, feet or face.

What does a small wart look like?

They’re usually flesh-colored, white, pink or tan. Common warts are small, grainy skin growths that occur most often on your fingers or hands. Rough to the touch, common warts also often feature a pattern of tiny black dots, which are small, clotted blood vessels.

Why do I have small warts on my face?

Facial warts and how to remove them. Warts are harmless growths that can occur anywhere on the body, including on the face. They are caused by certain strains of the human papillomavirus (HPV).

What deficiency causes warts?

Low serum zinc level was more prevalent in patients with resistant warts lasting more than six months than in controls, suggesting a possible association of zinc deficiency with persistent, progressive, or recurrent viral warts (28).

Can you get HPV if you are a virgin?

If you’ve never had any type of sexual intercourse, you’re unlikely to have HPV , but it’s not impossible since other types of sexual contact can spread HPV .

Can a faithful couple get HPV?

Sex partners who have been together tend to share HPV, even when both partners do not show signs of HPV. Having HPV does not mean that a person or their partner is having sex outside the current relationship. There is no treatment to eliminate HPV itself. HPV is usually dealt with by your body’s immune system.

What color is HPV discharge?

Increased vaginal discharge, which may be pale, watery, pink, brown, bloody, or foul-smelling. Abnormal vaginal bleeding between menstrual periods, after sex, douching or a pelvic exam.

Can you get HPV from fingers?

While it isn’t a common mode of transmission, you can get human papillomavirus (HPV) through hand contact, such as by fisting or fingering. HPV is a sexually transmitted infection (STI). It is a highly contagious virus that spreads from skin to skin.

What kills the wart virus?

  • Salicylic acid: This can generally be found as a liquid, on pads or as a tape, and is applied directly to the wart nightly. …
  • Cryotherapy: These over-the-counter sprays, which freeze off the warts, are milder forms of the liquid nitrogen therapies you will find at the dermatologist.

Will warts go away by themselves?

Treat the wart. When someone has a healthy immune system, a wart will often go away on its own. This can take a long time, though. In the meantime, the virus that causes warts can spread to other parts of the body, which may lead to more warts. Treatment can help a wart clear more quickly.