T
The Daily Insight

What are blasts in peripheral blood

Author

Rachel Hunter

Published Apr 04, 2026

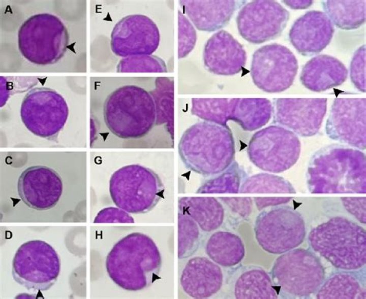
What are blasts? Blasts are precursors to the mature, circulating blood cells such as neutrophils, monocytes, lymphocytes and erythrocytes. Blasts are usually found in low numbers in the bone marrow. They are not usually found in significant numbers in the blood.

What do blast cells indicate?

Acute myeloid leukemia (AML) is a blood cancer. It happens when young abnormal white blood cells called blasts (leukemia cells), begin to fill up the bone marrow , preventing normal blood production. Doctors diagnose AML when 20 out of every 100 white blood cells in the bone marrow is a blast cell .

Is it normal to have blasts in bone marrow?

These are young blood cells produced by stem cells. Too many blast cells can further interfere with the production of red and white blood cells and platelets. Healthy people should not have any blasts in the bone marrow.

Are blasts in blood normal?

The number of immature cells (blasts) in the bone marrow is usually normal (less than 5%). A small percentage of the red blood cells in the bone marrow (less than 15%) may contain sideroblasts (iron granules that form a ring).

What is the blast stage of leukemia?

Blast phase (also called acute phase or blast crisis) Large clusters of blasts are seen in the bone marrow. The blast cells have spread to tissues and organs beyond the bone marrow. These patients often have fever, poor appetite, and weight loss. In this phase, the CML acts a lot like an acute leukemia.

Do blast cells always mean leukemia?

The most immature cells are called myeloblasts (or blasts). The percentage of blasts in the bone marrow or blood is particularly important. Having at least 20% blasts in the marrow or blood is generally required for a diagnosis of AML.

How do you reduce blast cells?

  1. chemotherapy.
  2. targeted therapy.
  3. radiation therapy.
  4. stem cell therapy, also known as bone marrow transplantation.

What are myeloid blasts?

In the myeloid cell line, the term “blast cell” refers to myeloblasts or myeloid blasts. These are the very earliest and most immature cells of the myeloid cell line. Myeloblasts give rise to white blood cells. This family of white blood cells includes: Neutrophils.

What can cause blasts in blood?

Circulating blasts can be seen with severe infections, medications (e.g. granulocyte colony stimulating factor), bone marrow replacing processes and hematopoietic neoplasms. Acute leukemia is the most important hematopoietic neoplasm to recognize because it can rapidly lead to death.

What does blast mean in medical terms?

(blast) An immature blood cell.

Article first time published on

How do you test for blasts?

Peripheral blood smear. In this test, a sample of your blood is examined under a microscope. It checks the number, shape, and size of white blood cells, and looks for immature white blood cells called blasts.

What is the survival rate of AML?

The 5-year survival rate for people 20 and older with AML is 26%. For people younger than 20, the survival rate is 68%. However, survival depends on several factors, including biologic features of the disease and, in particular, a patient’s age (see Subtypes for more information).

What is the most aggressive form of leukemia?

Patients with the most lethal form of acute myeloid leukemia (AML) – based on genetic profiles of their cancers – typically survive for only four to six months after diagnosis, even with aggressive chemotherapy.

How is blast crisis treated?

Patients in BC should be treated with a tyrosine kinase inhibitor according to mutation profile, with or without chemotherapy, with the goal of achieving a second chronic phase and proceeding to allogeneic stem cell transplantation as quickly as possible.

What are the 5 stages of leukemia?

  • Stage 0. The blood has too many white blood cells called lymphocytes. This is called lymphocytosis. …
  • Stage I. The blood has too many lymphocytes. …
  • Stage II. The blood has too many lymphocytes. …
  • Stage III. The blood has too many lymphocytes. …
  • Stage IV. The blood has too many lymphocytes.

What is a blast crisis?

Listen to pronunciation. (blast KRY-sis) A phase of chronic myelogenous leukemia in which tiredness, fever, and an enlarged spleen occur during the blastic phase, when more than 30% of the cells in the blood or bone marrow are blast cells (immature blood cells).

What are blasts called on CBC?

A CBC test can find leukemic blood cells, which are called blasts. It can also detect changes in the amount of any type of blood cell.

Is death from AML painful?

What is end-stage AML pain like? One 2015 study found that pain is the symptom people most commonly report during end-stage AML.

How can you tell the difference between a blast and a lymphocyte?

The cytoplasm is generally very basophilic. However, a careful evaluation of blasts reveals several differences from reactive lymphocytes. Nucleoli are usually more visible and prominent in blasts. The cytoplasmic margins in blast cells are generally not indented and more uniform.

Is AML hereditary?

Heredity or Genetic Factors Familial AML is a rare type of inherited leukemia which is transmitted by a non-sex chromosome in a dominant fashion. Certain genetic conditions can increase the risk for AML. It is very likely that identical twins who develop AML in the first year of life will both develop the disease.

What are the 4 main types of leukemia?

  • Acute myeloid (or myelogenous) leukemia (AML)
  • Chronic myeloid (or myelogenous) leukemia (CML)
  • Acute lymphocytic (or lymphoblastic) leukemia (ALL)
  • Chronic lymphocytic leukemia (CLL)

How do you know if your leukemia is getting worse?

If you start having symptoms of CLL progression, such as unexplained weight loss, fever, night sweats, swollen lymph nodes, and significant fatigue, schedule an appointment with your oncologist or hematologist right away.

How long can you live with AML without treatment?

Overall survival for AML Without treatment, survival is usually measured in days to weeks. With current treatment regimens, 65%–70% of people with AML reach a complete remission (which means that leukemia cells cannot be seen in the bone marrow) after induction therapy.

How quickly does AML progress?

The symptoms of AML usually develop over a few weeks and become worse over time.

Where are blast cells formed?

In healthy people, stem cells and blast cells are found only in the bone marrow.

Is AML a death sentence?

AML is one of the more common types of leukemia among adults and is rarely diagnosed in people under age 40. As Dr. Wang explains in this video, AML is no longer considered a death sentence.

What type of leukemia causes low platelets?

Chronic Lymphocytic Leukemia (CLL) Advanced CLL causes many signs and symptoms resulting from leukemia cells replacing the bone marrow’s normal blood-making cells, including thrombocytopenia or low blood platelets.

What does the root blast mean?

-blast. a combining form meaning “bud, sprout,” “embryo,” “formative cells or cell layer,” used in the formation of compound words: ectoblast.

What does blast mean in biology?

1. Introduction. BLAST is an acronym for Basic Local Alignment Search Tool and refers to a suite of programs used to generate alignments between a nucleotide or protein sequence, referred to as a “query” and nucleotide or protein sequences within a database, referred to as “subject” sequences.

What is the synonym of blast?

blow, burst, roar, crash, detonation, eruption, explosion, outbreak, outburst, volley, storm, gust, riot, blow up, bomb, damage, demolish, destroy, detonate, injure.

What do Myelocytes in the blood mean?

Occasional metamyelocytes and myelocytes may be seen but their presence in peripheral blood usually indicates infection, inflammation or a primary bone marrow process. The presence of progranulocytes or blast forms in the peripheral blood always indicates a serious disease process is present.