T
The Daily Insight

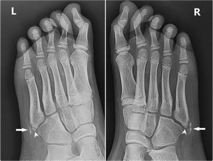
What is Iselin disease

Author

Sarah Rodriguez

Published Apr 03, 2026

How Is Iselin Disease Treated? Your child will need a short period of rest from painful activities in order to take pressure off the growth center and allow the inflammation to resolve. Ice is very helpful in reducing pain and inflammation. Apply ice for 10–15 minutes as often as every hour when sore.

How is Iselin disease treated?

How Is Iselin Disease Treated? Your child will need a short period of rest from painful activities in order to take pressure off the growth center and allow the inflammation to resolve. Ice is very helpful in reducing pain and inflammation. Apply ice for 10–15 minutes as often as every hour when sore.

What causes Apophysitis?

Apophysitis results from a traction injury to the cartilage and bony attachment of tendons in children and adolescents. Most often it is an overuse injury in children who are growing and have tight or inflexible muscle tendon units.

Does Iselin's disease go away?

Iselin disease typically resolves once the growth plates fuse, which occurs around age 12 in girls and 14 for boys. In the meantime, your podiatrist will want to manage discomfort to help ensure your child remains active. A pediatric immobilization brace is used to offload the growth plate and allow for healing.

How do you treat fifth metatarsal pain?

  1. Rest. Protect your foot from further injury by not stressing it. …
  2. Ice the affected area. Apply ice packs to the affected area for about 20 minutes at a time several times a day. …
  3. Take an over-the-counter pain reliever. …
  4. Wear proper shoes. …
  5. Use metatarsal pads. …
  6. Consider arch supports.

Where is the growth plate in the foot?

Growth plates are located near the ends of your child’s bones. If a fracture goes through a growth plate, it can result in a shorter or crooked limb.

What causes Sever's disease?

What Causes Sever’s Disease? Sever’s disease happens during the growth spurt of puberty. During a growth spurt, the bones, muscles, and tendons grow at different rates. The muscles and tendons can become tight, pulling on the growth plate in the heel.

Do metatarsal pads work?

Studies evaluating met pads for metatarsalgia have been primarily positive. Kang et al found that applying met pads is an effective method for reducing pressure unloading under the met heads and relieving symptoms of metatarsalgia.

Is Iselin's disease common?

Iselin’s Disease is a common acquired condition cause by traction apophysitis of the the peroneus brevis tendon at the tuberosity of the fifth metatarsal in children and presents with lateral foot pain.

Is there a growth plate at the base of the 5th metatarsal?

Iselin disease is painful inflammation of the apophysis (growth plate) at the base of the 5th metatarsal (foot bone). The growth plate is made up of cartilage, which is softer and more vulnerable to injury than mature bone.

Article first time published on

How do you treat apophysitis?

  1. Non-steroidal anti-inflammatory (NSAIDs), or other medications to control pain and reduce inflammation.
  2. Ice, or Ice massage, to help control pain and alleviate inflammation of the area.
  3. Braces or medical equipment that may help to alleviate pain and protect the area.

What age group is at more risk of apophysitis?

This abnormal growth leads to swelling and pain at the site. Similar overuse injuries result in tendon and muscle injuries in adults. Apophysitis is most common during ages of peak growth i.e. between 10-14 years in girls and 12-16 years in boys.

How long does it take for apophysitis to heal?

of apophysitis. athlete is placed on crutches for 4 weeks to allow healing of the fracture, followed by a rehabilitation program similar to that for apophysitis, with return to sport at 8 to 12 weeks.

Is there surgery for metatarsalgia?

Surgical Treament In extreme cases, surgery may be recommended to treat metatarsalgia. If there is severe pain and inflammation that does not subside, surgical realignment of the metatarsal bones may be required.

What is the best shoe for metatarsalgia?

  • Saucony Zealot ISO Running Shoe. …
  • New Balance Men’s MW928 Walking Shoe. …
  • Vionic Women’s Agile Kea Slip-On. …
  • Skechers Women’s Shape Ups 2.0 Comfort Stride. …
  • ABEO Yana Metatarsal booties. …
  • Twisted X Boots Mens Peanut Steel Toe Met Guard Driving Mocs.

Does Epsom salt help metatarsalgia?

Low level, cold laser or ultrasound therapy to the metatarsal head area can decrease inflammation or irritation and significantly calm down the area. Soaking your feet in hot, Epsom salt bath. This simple home remedy can take some of the soreness out of the foot.

Is Sever's disease curable?

In most cases, Sever’s disease goes away on its own with rest, treatment, and time. Symptoms may worsen if your child tries to play through the pain or if proper treatment is not followed. Your child may increase activity when symptoms have subsided. Sever’s is a disease, however, that can come and go.

Is Sever's disease rare?

Sever’s disease is rare in older teens. By late adolescence, a child’s growth plates have hardened into solid bone, and their muscles and tendons have lengthened to match the growth of their bones. Athletes who participate in high-impact sports are at higher risk of developing Sever’s disease.

Does Sever's disease need surgery?

Surgery is never required. The propensity to developing Sever’s calcaneal apophysitis typically resolves once the back portion of the heel bone fuses to the main portion at about 13 years of age in females and 14 years of age in males.

How long does it take for a growth plate to heal?

How long does it take to recover from a growth plate injury? With proper care, the vast majority of growth plate injuries heal without complication. This will typically involve a few weeks or months in a cast, depending on the location and severity of the injury.

What happens to growth plates as you age?

Growth plates continue to lengthen bones until about age 14 in girls and age 16 in boys,” Dr. Ballock says. “In both genders, the surge of estrogen at puberty causes growth plate cartilage to change into solid bone.” Growth plates disappear when the skeleton reaches maturity and the bones stop growing.

What age does growth plates close?

Growth plates usually close near the end of puberty. For girls, this usually is when they’re 13–15; for boys, it’s when they’re 15–17.

Can you walk on a metatarsal fracture?

A patient with a broken metatarsal may be able to walk, depending on how painful the injury is. Despite this, the patient with a metatarsal fracture is advised to avoid excessive walking, especially on uneven ground, to eliminate the risk of displacement.

How do you treat a metatarsal fracture?

  1. Rest. Sometimes rest is the only treatment needed to promote healing of a stress or traumatic fracture of a metatarsal bone.
  2. Avoid the offending activity. …
  3. Immobilization, casting or rigid shoe. …
  4. Surgery. …
  5. Follow-up care.

What does peroneal tendonitis feel like?

Peroneal tendonitis presents as a sharp or aching sensation along the length of the tendons or on the outside of your foot. It can occur at the insertion point of the tendons. Along the outside edge of your fifth metatarsal bone. Or further up along the outside of your ankle.

Does a walking boot help metatarsalgia?

Walking Boot for Ball of Foot Pain (metatarsalgia, neuroma, sesamoiditis) The feature of cast boots that work so well for pain under the ball of the foot is the rocker aspect of the sole. Pressure studies show that this rocker works to dramatically reduce pressure under the ball of the foot.

How long does metatarsalgia take to heal?

Ball of the foot pain or Metatarsalgia generally takes 6-8 weeks to improve and early activity on the healing bone and joint can result in a setback in recovery. Non-compliance can double the recovery time and can be very frustrating for patients.

What is the base of the 5th metatarsal?

The base of the fifth metatarsal is located on the outside (lateral) aspect of the foot where you can feel a prominent bone, about half way along the length of the foot. There are two types of 5th Metatarsal base fractures: Avulsion Fractures (Dancer’s Fractures) Stress Fractures (Jones’ Fractures)

What is the 5th metatarsal?

The fifth metatarsal is the long bone on the outside of the foot that connects to the small toe. Fracture are common in this bone, but can happen in different areas. Identifying the fracture type is essential in determining treatment.

What age does 5th metatarsal apophysis fuse?

Apophysis of the fifth metatarsal base appears on radiographs at age 10 for girls, and age 12 for boys. Fusion of the apophysis and the fifth metatarsal base usually takes place within the following 2–4 years.

What is apophysis of bone?

Apophysis. An apophysis is a normal developmental outgrowth of a bone which arises from a separate ossification centre, and fuses to the bone later in development. An apophysis usually does not form a direct articulation with another bone at a joint, but often forms an important insertion point for a tendon or ligament …