T
The Daily Insight

What is partial opacification

Author

Isabella Wilson

Published Apr 06, 2026

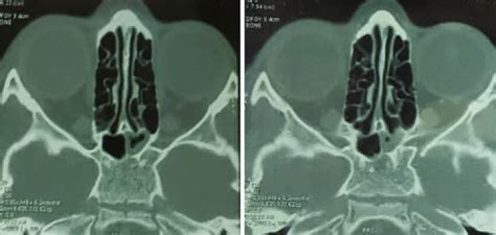
2) while partial opacification was defined as at least one-third of the maxillary sinus being opacified without clear distinct boundaries (Fig. 3). Complete opacification was a completely opacified maxilla in all axial and coronal slices (Fig. 4).

How do you treat sinus mucosal thickening?

  1. Nasal corticosteroids. …
  2. Saline nasal irrigation, with nasal sprays or solutions, reduces drainage and rinses away irritants and allergies.
  3. Oral or injected corticosteroids. …
  4. Allergy medications. …
  5. Aspirin desensitization treatment, if you have reactions to aspirin that cause sinusitis and nasal polyps.

What causes mucosal thickening in the paranasal sinuses?

Continuous exposure to inhaled allergens produces a chronic inflammation in the nasal-sinus mucosa, identified as mucosal thickening on Computed Tomography (CT). Sinusitis is the most common disease of the paranasal sinuses.

What is opacification of the sphenoid sinuses?

Objective: Unilateral sphenoid sinus opacification (SSO) on imaging is a common incidental radiologic finding. Inflammatory sinus disease is rarely isolated to one sinus cavity therefore SSO raises the potential for neoplastic etiology.

What does air fluid levels in sinuses mean?

Air-fluid levels and complete opacification are more specific for sinusitis, but they are seen in only 60% of sinusitis cases. Air-fluid levels, as shown in the image below, generally indicate bacterial sinusitis. Air-fluid level (arrow) in the maxillary sinus suggests sinusitis.

What foods help clear sinuses?

Take Antioxidants in Plenty Bright colored vegetables and fruits such as berries, kiwi, pumpkin, papaya, sweet potatoes, and pineapple are all rich in antioxidants, vitamins, and minerals. Pineapple also contains enzymes that break down the buildup on the sinuses and reduces inflammation.

How do you know if a sinus infection has spread to your brain?

Encephalitis: This results when the infection spreads to your brain tissue. Encephalitis may not have obvious symptoms beyond a headache, fever, or weakness. But more severe cases can lead to confusion, hallucinations, seizures, difficulty speaking, paralysis, or loss consciousness.

What does well Opacified mean?

Verb. 1. opacify – make opaque; “The glass was opacified more greater privacy” alter, change, modify – cause to change; make different; cause a transformation; “The advent of the automobile may have altered the growth pattern of the city”; “The discussion has changed my thinking about the issue”

What causes sinus opacification?

Inflammation. Sinonasal inflammatory disease with sinus ostial obstruction is a very common cause of an opacified paranasal sinus. An air-fluid level suggests acute sinusitis; in chronic sinus disease, one may see mucosal thickening and sclerosis of the bony sinus walls.

How do you unclog a sphenoid sinus?
  1. Place your index fingers on the bridge of your nose.
  2. Find the area between your nasal bone and the corner of the eyes.
  3. Hold a firm pressure in that spot with your fingers for about 15 seconds.
  4. Then, using your index fingers, stroke downward along the side of the bridge of your nose.
Article first time published on

Is mucosal thickening permanent?

All of the above factors will eventually cause thickening of the nasal and sinus lining tissue. If this process persists the thickening can become permanent. Eventually despite our best efforts with treatment this continuous swelling can create polyps.

Can mucosal thickening cause headaches?

There may also be associated swelling and inflammation of the lining of the sinuses, resulting in increased mucus and fluid secretion. This increase in fluid combined with the inability to drain increases pressure within the sinus cavity, causing the pain of a sinus headache.

Can sinusitis be seen on MRI?

MRI is excellent for evaluating soft tissue disease within the sinuses, but it is of little value in the diagnostic workup for acute sinusitis. This type of imaging may be too sensitive to define soft tissue structures. MRI is not useful for detecting bone pathology.

Can a CT scan of sinuses show a brain tumor?

A typical series of CT scans for the sinuses use less x-ray radiation than a standard complete set of x-rays. However, a CT scan of the sinuses does not show any brain tissue.

Can a CT scan show sinus infection?

A CT scan can give the doctor a better view of your sinuses and can also identify any structural issues. If the doctor suspects sinusitis, the scan will help diagnose that ailment. It can also evaluate if the sinuses are filled with fluid and show thickened sinus membranes.

Is sinus a serious problem?

Sinusitis, even in its chronic form, is not typically dangerous. In some cases, however, it may indicate a serious underlying condition. A doctor can help identify the cause, so see a doctor if sinus pain or pressure lasts longer than a week or two.

What happens if a sinus infection goes untreated?

What Happens if Sinusitis Isn’t Treated? You’ll have pain and discomfort until it starts to clear up. In rare cases, untreated sinusitis can lead to meningitis, a brain abscess, or an infection of the bone.

Can sinusitis affect your eyes?

Problems in the sinuses can cause facial pressure, feeling of fluid or fullness in the ears, and even eye pain. Since sinuses are located behind the eye and near the inner corners of the eyes it is possible that eyes can be affected by infections in the sinuses.

Can a sinus infection turn into pneumonia?

In fact, the same viruses that cause colds and the flu can cause pneumonia. If they infect the throat, sinuses, and upper respiratory tract, they cause a cold. If they reach the lungs, they cause pneumonia.

Is banana good for sinus?

As much as it is recommended to eat a banana for a healthy body, it is also advised to stay away from bananas during cold or flu. If you have sinus issues then don’t eat bananas after sunset. It has a cooling nature and causes congestion, sore throat.

What triggers sinusitis?

Sinusitis can be caused by a virus, bacteria, or fungus that swells and blocks the sinuses. A few specific causes include: The common cold. Nasal and seasonal allergies, including allergies to mold.

What can I drink to clear my sinuses?

Drinking plenty of clear fluids will help people stay hydrated and can also help loosen mucus and clear congestion. Good choices for fluids to drink when a person has a sinus infection include: plain water. hot water with lemon, honey, or ginger.

What causes calcification in sinus cavity?

An antrolith is a calcified mass within the maxillary sinus. The origin of the nidus of calcification may be extrinsic (foreign body in sinus) or intrinsic (stagnant mucus and fungal ball). Most antroliths are small and asymptomatic. Larger ones may present as sinusitis with symptoms like pain and discharge.

Does sphenoid sinus require surgery?

Unlike other sinusitis, isolated sphenoid sinusitis is usually treated surgically. Only few cases reported in the literature have responded completely with medical treatment alone [15].

What does sphenoid sinusitis feel like?

The main symptom of sinusitis is a throbbing pain and pressure around the eyeball, which is made worse by bending forwards. Although the sphenoid sinuses are less frequently affected, infection in this area can cause earache, neck pain, or an ache behind the eyes, at the top of the head, or in the temples.

What is opacification in the lung?

Ground glass opacity (GGO) refers to the hazy gray areas that can show up in CT scans or X-rays of the lungs. These gray areas indicate increased density inside the lungs. The term comes from a technique in glassmaking during which the surface of the glass is blasted by sand.

What is Opacified bladder?

The degree of bladder opacification was quantified as the percentage of the total cross-sectional area of the bladder that was opacified on excretory phase images. Ureteral opacification was quantified as the percentage of ureteral length that contained enhanced urine.

What's the meaning of opacification?

Definitions of opacification. the process of becoming cloudy or opaque. type of: action, activity, natural action, natural process. a process existing in or produced by nature (rather than by the intent of human beings)

What is the best medication to dry up sinus drainage?

“Decongestants dry up the mucus that collects in the back of the throat as a result of the infection. Expectorants melt the mucus.” Look for over-the-counter decongestants that contain pseudoephedrine or phenylephrine, such as Sudafed. “I recommend taking this in the morning only.

Is sphenoid sinusitis fatal?

Sphenoid sinus infections can cause severe complications that are potentially fatal and therefore must never be underestimated.

Does Flonase help with sinus pressure?

Treating a sinus infection means unblocking and draining the sinuses. Corticosteroid nasal sprays such as Flonase and Nasacort are the best source for treatment because they help reduce swelling in the nasal passages.